
Heel pain is a common issue that can significantly impact daily activities. The most frequent causes include plantar fasciitis, Achilles tendonitis, Sever’s disease, and bursitis. Plantar fasciitis is an inflammation of the tissue that runs along the bottom of the foot, causing sharp pain, especially with the first few steps in the morning. Achilles tendonitis occurs when the Achilles tendon becomes inflamed, leading to pain at the back of the heel. Sever’s disease, common in growing children, is an inflammation of the growth plate in the heel. Bursitis occurs when the small fluid-filled sacs in the heel become inflamed, causing discomfort. The causes of heel pain can vary, from overuse and wearing poor footwear to biomechanical issues. A podiatrist can diagnose the root cause and recommend effective treatments, such as custom orthotics, stretching exercises, or even surgery, if needed. If you have heel pain, it is suggested that you schedule an appointment with a podiatrist to find relief.
Many people suffer from bouts of heel pain. For more information, contact Roy Rothman, DPM of Florida. Our doctor can provide the care you need to keep you pain-free and on your feet.
Causes of Heel Pain
Heel pain is often associated with plantar fasciitis. The plantar fascia is a band of tissues that extends along the bottom of the foot. A rip or tear in this ligament can cause inflammation of the tissue.
Achilles tendonitis is another cause of heel pain. Inflammation of the Achilles tendon will cause pain from fractures and muscle tearing. Lack of flexibility is also another symptom.
Heel spurs are another cause of pain. When the tissues of the plantar fascia undergo a great deal of stress, it can lead to ligament separation from the heel bone, causing heel spurs.
Why Might Heel Pain Occur?
Treatments
Heel pain should be treated as soon as possible for immediate results. Keeping your feet in a stress-free environment will help. If you suffer from Achilles tendonitis or plantar fasciitis, applying ice will reduce the swelling. Stretching before an exercise like running will help the muscles. Using all these tips will help make heel pain a condition of the past.
If you have any questions, please feel free to contact our office located in DeBary, FL . We offer the newest diagnostic and treatment technologies for all your foot care needs.

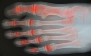
Toe arthritis is a condition where the joints in the toes become inflamed, causing pain and stiffness. The most common cause is osteoarthritis, which occurs as the cartilage in the toe joints wears down over time, often due to age or repetitive stress. Other causes include rheumatoid arthritis or injury to the toe. Symptoms of toe arthritis include pain in the affected joint, particularly during movement, swelling, and a reduced range of motion. In some cases, the joint may become deformed or misaligned. Relief from toe arthritis involves wearing proper footwear that provides support and cushioning, as well as anti-inflammatory medications to reduce pain and swelling. Specific exercises can also help improve joint flexibility and strength. In severe cases, surgical options may be considered to restore function and alleviate pain. If you have symptoms of arthritis in your toes, it is suggested that you consult a podiatrist who can offer you effective relief and management tips.
Arthritis can be a difficult condition to live with. If you are seeking treatment, contact Roy Rothman, DPM from Florida. Our doctor can provide the care you need to keep you pain-free and on your feet.
Arthritic Foot Care
Arthritis is a joint disorder that involves the inflammation of different joints in your body, such as those in your feet. Arthritis is often caused by a degenerative joint disease and causes mild to severe pain in all affected areas. In addition to this, swelling and stiffness in the affected joints can also be a common symptom of arthritis.
In many cases, wearing ill-fitting shoes can worsen the effects and pain of arthritis. Wearing shoes that have a lower heel and extra room can help your feet feel more comfortable. In cases of rheumatoid arthritis, the arch in your foot may become problematic. Buying shoes with proper arch support that contour to your feet can help immensely.
Alleviating Arthritic Pain
It is best to see your doctor for the treatment that is right for your needs and symptoms. Conditions vary, and a podiatrist can help you determine the right method of care for your feet.
If you have any questions please feel free to contact our office located in DeBary, FL . We offer the newest diagnostic tools and technology to treat your foot and ankle needs.

Plantar warts are small, rough growths that appear on the soles of the feet. They are caused by an infection with the human papillomavirus, commonly known as HPV. This virus enters the skin through tiny cuts or breaks, causing the skin to grow abnormally. Plantar warts are typically firm, flat, and may have a rough surface with black dots in the center, which are blood vessels. The condition is highly contagious and can spread through direct contact with an infected surface, such as public showers or swimming pools. People with weakened immune systems, children, and those with frequent barefoot contact in communal areas are more likely to develop plantar warts. The warts can become uncomfortable, especially when pressure is applied from walking or standing for long periods. If you have developed a plantar wart, it is suggested that you consult a podiatrist who can effectively treat this condition.
Plantar warts can be very uncomfortable. If you need your feet checked, contact Roy Rothman, DPM from Florida. Our doctor will assist you with all of your foot and ankle needs.
About Plantar Warts
Plantar warts are the result of HPV, or human papillomavirus, getting into open wounds on the feet. They are mostly found on the heels or balls of the feet.
While plantar warts are generally harmless, those experiencing excessive pain or those suffering from diabetes or a compromised immune system require immediate medical care. Plantar warts are easily diagnosed, usually through scraping off a bit of rough skin or by getting a biopsy.
Symptoms
Treatment
To help prevent developing plantar warts, avoid walking barefoot over abrasive surfaces that can cause cuts or wounds for HPV to get into. Avoiding direct contact with other warts, as well as not picking or rubbing existing warts, can help prevent the further spread of plantar warts. However, if you think you have developed plantar warts, speak to your podiatrist. He or she can diagnose the warts on your feet and recommend the appropriate treatment options.
If you have any questions, please feel free to contact our office located in DeBary, FL . We offer the newest diagnostic and treatment technologies for all your foot care needs.

Moccasin-type athlete’s foot is a fungal infection that affects the soles of the feet, often causing dry, itchy, and thickened skin. Unlike the classic form of athlete’s foot, which typically appears between the toes, or a type that causes blisters on the sole of the foot, moccasin-type covers the bottom and sides of the foot, resembling the fit of a moccasin. This type can cause scaling, cracking, and even a rough texture that may extend to the heels. Moccasin-type athlete’s foot is stubborn and can be difficult to treat, as the fungus may penetrate deeper skin layers. People with sweaty feet, compromised immune systems, or a history of foot infections are at higher risk. Treatment often involves topical antifungal creams or, in persistent cases, oral antifungals. To prevent recurrence, keeping feet clean, dry, and wearing breathable shoes is essential. If you have developed what seems to be a fungal infection on your feet, it is suggested that you promptly schedule an appointment with a podiatrist for care.
Athlete’s foot is an inconvenient condition that can be easily reduced with the proper treatment. If you have any concerns about your feet and ankles, contact Roy Rothman, DPM from Florida. Our doctor will treat your foot and ankle needs.
Athlete’s Foot: The Sole Story
Athlete's foot, also known as tinea pedis, can be an extremely contagious foot infection. It is commonly contracted in public changing areas and bathrooms, dormitory style living quarters, around locker rooms and public swimming pools, or anywhere your feet often come into contact with other people.
Solutions to Combat Athlete’s Foot
Athlete’s foot can cause many irritating symptoms such as dry and flaking skin, itching, and redness. Some more severe symptoms can include bleeding and cracked skin, intense itching and burning, and even pain when walking. In the worst cases, Athlete’s foot can cause blistering as well. Speak to your podiatrist for a better understanding of the different causes of Athlete’s foot, as well as help in determining which treatment options are best for you.
If you have any questions please feel free to contact our office located in DeBary, FL . We offer the newest diagnostic and treatment technologies for all your foot and ankle needs.

Corns are thickened, hardened areas of skin that typically develop on the feet, often causing discomfort and pain. These formations occur as a response to repeated friction or pressure, usually from wearing ill-fitting shoes or abnormal foot mechanics. There are two main types of corns. Hard corns are small, round, and found on the tops or sides of toes, and soft corns are white and rubbery, often found between the toes. The primary cause of corns is consistent rubbing or pressure, which triggers the skin to harden as a protective response. Symptoms include localized pain, tenderness, and the visible buildup of thickened skin. Corns can lead to further complications if left untreated, including infection or difficulty walking. Corns can cause severe pain, and it may be difficult to complete daily activities. If you have a painful corn, it is suggested that you consult a podiatrist who can offer you effective relief tips.
Corns can make walking very painful and should be treated immediately. If you have questions regarding your feet and ankles, contact Roy Rothman, DPM of Florida. Our doctor will treat your foot and ankle needs.
Corns: What Are They? And How Do You Get Rid of Them?
Corns are thickened areas on the skin that can become painful. They are caused by excessive pressure and friction on the skin. Corns press into the deeper layers of the skin and are usually round in shape.
Ways to Prevent Corns
There are many ways to get rid of painful corns such as:
Treating Corns
Although most corns slowly disappear when the friction or pressure stops, this isn’t always the case. Consult with your podiatrist to determine the best treatment option for your case of corns.
If you have any questions, please feel free to contact our office located in DeBary, FL . We offer the newest diagnostic and treatment technologies for all your foot care needs.
Roy A. Rothman, DPM, PA
2836 Enterprise Rd #2
DeBary, FL 32713
Phone: (386) 753-1918
Fax: (386) 753-1902
Copyright © Roy A. Rothman, DPM, PA | Design by: Podiatry Content Connection